Hamartome sébacé de Jadassohn chez un chien réparti selon les lignes de Blaschko
E. GUAGUERE 1, F. DEGORCE-RUBIALES 2, O. VEROLA 3, A. MULLER 1
1 Clinique Vétérinaire Saint-Bernard, F -59160 Lomme France
2 Laboratoire Vétérinaire d’Anatomie Pathologique du Sud Ouest, LAPVSO, F 31201 Toulouse cedex 2 France
3 Hôpital St Louis ,F-75000 Paris
Présentation clinique
Une chienne Golden retriever âgée de 18 mois est présentée à la consultation dermatologique pour un peau sale et sèche depuis l’âge de 3 mois.
C’est le seul animal atteint de la portée.
Elle présente sur la face, le cou, le thorax et les membres, des plaques indurées, verruqueuses, multifocales que l’on sent à la palpation sous le pelage.
Après la tonte de l’animal, ces plaques apparaissent brunes, recouvertes de squames et de quelques croûtes. Leur disposition apparaît clairement linéaire et elles suivent les lignes de blaschko.
![]() |
![]() |
![]() |
![]() |
![]() |
L’animal ne présente aucune autre anomalie, ni aucune atteinte de l’état général.
Les hypothèse diagnostiques sont :
- Démodécie
- Ichtyose
- Hamatome cutané notamment un naevus épidermique linéaire
Les raclages cutanés sont négatifs et le dépistage génétique de l’ichtyose du Golden retriever révèle que l’animal est hétérozygote.
Examen histologique
Plusieurs biopsies cutanées sont effectuées.
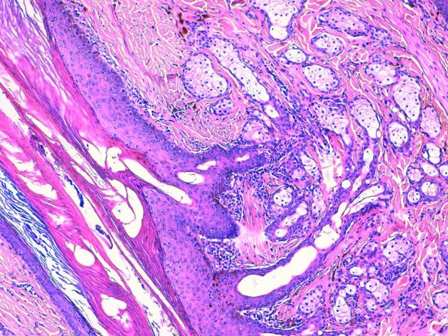
La plupart révèlent un épiderme hyperplasique auquel s’abouchent des infundibula folliculaires évasés, hyperkératosiques, auxquels sont annexées de nombreuses glandes sébacées, plurilobulées, hyperplasiques, via des canaux sébacés dilatés et multiples. Au sein des unités folliculaires, les follicules pileux montrent une portion profonde rudimentaire souvent sous la forme d’un bulbe isolé et malformé. Les glandes sudorales épitrichiales sont rares et de petites taille dans le derme profond.
![]() |
![]() |
| Fig 3 : Hamartome sébacé de Jadassohn : de multiples glandes sébacées plurilobulées, ramifiées et matures, s’abouchent à un même infundibulum folliculaire béant, via des canaux sébacés (H&E, X 25). | |
![]() |
![]() |
| Fig 4 : Hamartome sébacé de Jadassohn : de multiples glandes sébacées plurilobulées, ramifiées et matures, s’abouchent à un même infundibulum folliculaire béant, via des canaux sébacés (H&E, X100) | |
![]() |
![]() |
| Fig 5 : Hamartome sébacé de Jadassohn : dans le derme profond, les follicules pileux sont rares et leur portion profonde rudimentaire souvent visible sous la forme d’un reliquat bulbaire (H&E, X100). | |
Sur une biopsie, la présentation est différente, les glandes sébacées sont moins proéminentes et se sont les glandes sudorales épitrichiales qui apparaissent nombreuses et dilatées. Focalement il s’y développe une néoformation tumorale épithéliale formée d’îlots solides qui subissent multifocalement une dégénérescence kystique. Des images de canaux intra-cytoplasmiques, de kératinisation individuelle ou collective, d’ébauches de canaux excréteurs sont visibles.
Diagnostic histologique
Discussion
L’ hamartome sébacé de Jadassohn se développe classiquement à la naissance ou juste après.
Les lésions peuvent comporter des éléments matures de toutes les annexes cutanées (glandes sébacées, glandes sudorales et follicules pileux) en proportions différentes et exprimer ainsi un aspect assez hétérogène
En outre, la morphologie des lésions évoluent classiquement dans le temps avec l’âge du sujet.
De plus, il peut se développer au sein des lésions, avec le temps, de nombreux types de tumeurs annexielles, le plus souvent bénignes, d’origine folliculaires ou glandulaires.
Ce type d’hamartome survient lors du développement embryonnaire lorqu’une mutation atteint un certain nombre de cellules germinales provoquant une mutation épigénomique dite en mosaïque qui se distribue selon les lignes de Blaschko.
Chez l’Homme plusieurs données suggèrent la transmission maternelle d’AND de papillomavirus aux cellules germinales de l’ectoderme du foetus, dans l’étiologie de cet hamartome sébacé de Jadassohn.
Elles ne sont pas limitées à une maladie spécifique et ne constituent pas à elles seules les signes avant-coureur d’une pathologie. Chez l’homme, les lignes de Blaschko sont le résultat d’une information codée dans le génome dans l’ADN. Chez un homme normal, la pigmentation de la peau est uniforme et les lignes ne sont pas visibles. Des maladies de la peau peuvent toutefois les faire apparaître. On observe alors chez le patient des différences de couleur plus ou moins prononcées entre plusieurs parties du corps avec des motifs, des bandes et des lignes caractéristiques. La plupart du temps, ces motifs ressemblent à une lettre V alignée sur l’axe du dos et une lettre S sur la poitrine, l’estomac et les flancs du corps. Ces lignes ne suivent ni le système nerveux, ni les vaisseaux ou le système lymphatique. Blaschko avait émis l’hypothèse que la régularité de ces motifs entre les patients laissait supposer la présence d’une origine embryonnaire.
Les lignes de Blaschko entraînent une différence de couleur dans le pelage de certaines races canines comme le boxer (robe bringée).
Ces motifs apparaissent également dans le cas d’un mosaïcisme, c’est-à-dire la présence dans le même organisme de cellules avec deux génotypes différents.
Mise au point
| Hamartome signifie « malformation non néoplasique » : |
C’est une malformation tissulaire pseudo-tumorale constituée d’un assemblage anormal et désordonné de de tissus identiques à ceux de l’organe ou du territoire dans lequel on les trouve Il résulte de la croissance non néoplasique de tissus normalement situés, mais formant un assemblage désordonné. |
Naevus signifie « tâche maternelle » : |
C’est un hamartome cutané La tendance actuelle est de réserver ce terme aux seules lésions pigmentées (naevi mélanocytaires). Parfois le terme naevus s’oppose à hamartome dans le fait qu’au sein du naevus, l’assemblage tissulaire apparaît normal et ordonné. |
Références
Carlson JA, Cribier B, Nuovo G, Rohwedder A :.Epidermodysplasia verruciformis-associated and genital-mucosal high-riskhuman papillomavirus DNA are prevalent in nevus sebaceus of Jadassohn.J Am Acad Dermatol 2008;59:279-94.
Eisen DB and Michael DJ : Sebaceous lesions and their associated syndromes: Part I.J Am Acad Dermatol 2009;61:549-60


















