Tumeurs Mammaires de la chienne : nouveau grading de Peña & Clemente
Nous avons lu pour vous :
- Clemente M, Pérez-Alenza MD, Illera JC, Peña L. Histologic, immunologic and ultrastructural description of vasculogenic mimicry in a canine mammary cancer. Vet Pathol 47 :265-274, 2010.
- Goldschmidt M, Peña L, Rasotto R, Zappulli V. Classification and grading of Canine Mammary Tumors. Vet Pathol. 2011 Jan;48(1):117-31
- R. Rasotto, V. Zappulli, M. Castagnaro, and M. H. Goldschmidt. A Retrospective Study of Those Histopathologic Parameters Predictive of Invasion of the Lymphatic System by Canine Mammary Carcinomas. Vet Pathol March 2012 49: 330-340, first published on June 13, 2011
- Peña L., De Andrés P.J., Clemente M., Cuesta P. and Pérez-Alenza D. : Pronostic Value of Histological Grading In Noninflammatory Canine Mammary Carcinomas in a Prospective Study With Two-Year Follow-Up : Relationship With Clinical and histological Characteristics Vet Pathol OnlineFirst published on June 11, 2012

Photos 1 & 2 : à gauche, adénome mammaire complexe dans le tissu glandulaire mammaire sous le mamelon, HE, X1; à droite : association de deux composantes, l’une épithéliale et tubulaire, l’autre myoépithéliale et fusiforme au sein d’un adénome mammaire complexe (photos LAPVSO).
Nous vous avons déjà présenté la nouvelle classification des tumeurs mammaires de la chienne récemment publiée dans le journal Veterinary Pathology :Goldschmidt M, Peña L, Rasotto R, Zappulli V. Classification and grading of Canine Mammary Tumors. Vet Pathol. 2011 Jan;48(1):117-31
Par rapport à l’ancienne classification WHO, elle prend en compte 6 sous-types supplémentaires : le carcinome cribriforme, le carcinome micro-papillaire infiltrant, le comédocarcinome, le carcinome ductulaire, le carcinome papillaire intra-ductulaire, le carcinome et myoépithélioma malin.
le grading de Peña & Clemente (1).
Contrairement au grading de Scarff et Bloom, le grading de Peña & Clemente s’applique à tous les carcinomes mammaires.
Par contre, il ne s’applique ni aux carcinosarcomes*, ni aux sarcomes.
*mais un cas est gradé dans l’étude rétrospective de Rasotto et al (3)
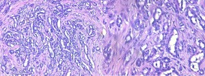
- L’architecture ou la propension à faire des tubes (photos 3 & 4)
- Les atypies cytonucléaires ou le degré de pléomorphisme nucléaire (photos 5,6,7 & 8)
- L’activité mitotique (photo 9)

Photos 3 & 4 Architecture : à gauche, architeture tubulaire, score 1 d’architecture HE X200; à droite, architecture papillaire, score 3 d’architecture, HE X100 (photos LAPVSO).

Photos 5,6,7,8 Pléomorphisme nucléaire : en haut à droite et à gauche : score 1 de pléomorphisme, HE X400; en bas à gauche, score 2 de pléomorphisme, HE X400; en bas à droite, score 3 de pléomorphisme, HE X400 (photos LAPVSO).
Les trois critères sont cotés en 1,2 ou 3. Les trois scores sont additionnés pour donner le grade.
Le système établi par Bloom et Richardson additionnait déjà les scores établis pour ces trois critères, mais la modification apportée en 1991 par Elston et Ellis a apporté une quantification plus précise de la différenciation tubulaire et du compte mitotique, évalué sur dix champs contigus.
Auparavant, pour les tumeurs diagnostiquées au LAPVSO, nous utilisions :
- La classification de la WHO
- Le grading de Gilbertson
- Le grading de Scarff et Bloom
- La classification modifiée de la WHO (2)
- Le grading de Gilbertson (5)
- Le grading de Peña & Clemente (1) (Tableau I)
- Les données histopronostiques issues de l’étude prospective de Peña et al. (4) et de l’étude rétrospective de Rasotto et al (3) pour le grading de Peña & Clemente
Tableau I : Grading de Peña & Clemente d’après (1)
| Tubes | Pléomorphisme nucléaire |
Index mitotique pour 10HPF |
Score |
|---|---|---|---|
| >75% | Minime | 0-9 | 1 |
| 10-75% | Modéré | 10-19 | 2 |
| <10% | Marqué | >20 | 3 |
| Score | Grade | Qualification |
|---|---|---|
| 3-5 | I | Faible grade |
| 6-7 | II | Grade intermédiaire |
| 8-9 | III | Haut grade |
Rassoto et al (3) ont utilisé le grading de Peña & Clemente et donnent des fréquences d’apparition d’emboles lymphatiques (Tableau II) et de métastases nodales (Tableau III) en fonction de certains types tumoraux rencontrés.

Photos 10 & 11 : à gauche, carcinome ductulaire, HE X200; à gauche, carcinome papillaire intra-ductulaire, HE X200 (photos LAPVSO).
Tableau II : Fréquence (en pourcentage) de cas avec emboles lymphatiques en fonction du grade et du sous-type tumoral selon le grading de Peña & Clemente d’après (3)
| Sous-type | Grade I | Grade II | Grade III | Total et Nombre de cas dans l’étude |
|---|---|---|---|---|
| Comédocarcinome | – | 87,5% 14 chiens sur 16 |
97,1% 33 chiens sur 34 |
94% 47 chiens sur 50 |
| Carcinome simple tubuleux | 18,2% 2 chiens sur 11 |
71,4% 20 chiens sur 28 |
83,3% 5 chiens sur 6 |
60% 27 chiens sur 45 |
| Carcinome anaplasique | – | – | 100% les 36 chiens atteints |
100% les 36 chiens atteints |
| Carcinome simple solide | – | 70% 7 chiens sur 10 |
95,2% 20 chiens sur 21 |
87,1% 27 chiens sur 31 |
| Carcinome tubulo-papillaire | 33,3% 1 chien sur 3 |
90% 18 chiens sur 20 |
80% 4 chiens sur 5 |
82,14% 23 chiens sur 28 |
| Carcinome et myoépithélioma malin | 50% 3 chiens sur 6 |
80% 8 chiens sur 10 |
100% le seul chien atteint |
70,6% 12 chiens sur 17 |
| Carcinome complexe | 0% aucun des 5 chiens |
40% 2 chiens sur 5 |
– | 20% 2 chiens sur 10 |
| Carcinome ductulaire | 0% le seul chien atteint indemne |
0% aucun des 4 chiens |
50% 1 chien sur 2 |
14,3% 1 chien sur 7 |
| Carcinome se développant dans une tumeur bénigne | 0% aucun des 3 chiens |
50% 1 chien sur 2 |
– | 20% 1 chien sur 5 |
| Carcinome micro-papillaire infiltrant | – | 100% le seul chien |
100% les 4 chiens |
100% les 5 chiens |
| Carcinome adénosquameux | – | – | 100% les 4 chiens |
100% les 4 chiens |
| Carcinome papillaire intra-ductulaire | 0% le seul chien atteint indemne |
100% les 2 chiens |
– | 66,7% 2 chiens sur 3 |
| Carcinome riche en cellules lipidiques | – | 100% le seul chien |
100% les 2 chiens |
100% les 3 chiens |
| Carcinosarcome | – | 0% le seul chien atteint indemne |
– | 0% le seul chien atteint indemne |
Tableau III : Fréquence (en pourcentage) de cas avec métastase au nœud lymphatique de drainage en fonction du grade selon le grading de Peña & Clemente et du sous-type tumoral, d’après (3)
| Sous-type | Grade I | Grade II | Grade III | Total et Nombre de cas dans l’étude |
|---|---|---|---|---|
| Carcinome simple tubuleux | 10% 1 chien sur 10 |
30,8% 4 chiens sur 13 |
66,7% 2 chiens sur 3 |
26,9% 7 chiens sur 26 |
| Comédocarcinome | – | 71,4% 5 chiens sur 7 |
100% 11 chiens sur 11 |
88,9% 16 chiens sur 18 |
| Carcinome anaplasique | – | – | 100% 16 chiens sur 16 |
100% 16 chiens sur 16 |
| Carcinome tubulo-papillaire | 0% aucun des 2 chiens atteints |
77,8% 7 chiens sur 9 |
66,7% 2 chiens sur 3 |
64,3% 9 chiens sur 14 |
| Carcinome simple solide | – | 0% aucun des 3 chiens atteints |
100% 10 chiens sur 10 |
76,9% 10 chiens sur 13 |
| Carcinome et myoépithélioma malin | 50% 1 chien sur 2 atteints |
66,7% 4 chiens sur 6 |
100% le seul chien atteint |
66,7% 6 chiens sur 9 |
| Carcinome complexe | 0% aucun des 5 chiens atteints |
25% 1 chien sur 4 |
– | 11,1% 1 chien sur 9 |
| Carcinome ductulaire | 0% le seul chien atteint indemne |
0% aucun des 3 chiens atteint |
50% 1 chien sur 2 |
16,7% 1 chien sur 6 |
| Carcinome se développant dans une tumeur bénigne | 0% aucun des 3 chiens atteint |
50% 1 chien sur 2 |
– | 20% 1 chien sur 5 |
| Carcinome papillaire intraductulaire | 0% le seul chien atteint indemne |
50% 1 chien sur 2 |
– | 66,7% 1 chien sur 3 |
| Carcinome riche en cellules lipidiques | – | 100% le seul chien atteint |
100% les 2 chiens atteints |
100% les 3 chiens atteints |
| Carcinome micro-papillaire infiltrant | – | – | 100% les 2 chiens atteints |
100% les 2 chiens atteints |
| Carcinome adénosquameux | – | – | 100% les 2 chiens atteints |
100% les 2 chiens atteints |
| Carcinosarcome | – | 0% le seul chien atteint indemne |
– | 0% le seul chien atteint indemne |
|
|
L’étude prospective de Pena et al (4) donne en fonction des trois grades des temps de survie sans récidive et/ou métastases (DFS / Disease Free Survival) (Tableau IV) et des temps de survie globale (OS / overall survival) (Tableau V).
Le temps de survie sans récidive ni métastatse ou Disease-free survival (DFS) est le temps qui s’écoule de la chirurgie d’exérèse au développement d’une récidive et/ ou d’une métastase.
La survie globale ou overall survival (OS) est le temps qui s’écoule entre la chirurgie d’exérèse et la mort de l’animal due au cancer ou jusqu’au terme du suivi).
Dans cette étude, le suivi fut au minimum de 28 mois et au maximum de 38 mois.
65 tumeurs ont été étudiées.
Tableau IV : Survie sans récidive ni métastase (DFS) dans le grading de Peña & Clemente d’après (4)
| Grade | Temps Moyen de survie sans récidive et/ou métastase (en mois) Mean DFS | Temps minimum de survie sans récidive et/ou métastase (en mois) Minimum DFS | Temps maximum de survie sans récidive et/ou métastase (en mois) Maximum DFS |
|---|---|---|---|
| I | 37,2937 mois | 35,93 | 38,65 |
| II | 32,6833 mois | 27,15 | 38,21 |
| II | 17,7818 mois | 11,39 | 24,17 |
Tableau V : Survie globale (OS) dans le grading de Peña & Clemente d’après (4)
| Grade | Survie globale moyenne (en mois) Mean OS | Survie globale minimum (en mois) Minimum OS | Survie globale maximum (en mois)Maximum OS |
|---|---|---|---|
| I | >38 tous les animaux étaient vivants à la fin de l’étude | – | – |
| II | 32,84 | 27,48 | 38,20 |
| III | 20,36 | 13,95 | 26,77 |
|
|
|
Tableau VI : Survie globale à 1 et 2 ans selon les grades de Peña & Clemente (4)
| Grade | Survie à 1 an | Survie à 2 ans |
|---|---|---|
| I | 100% | 100% |
| II | 80% | 80% |
| III | 70% | 30% |
Les données récentes concernant le taux de récidive et/ou d’apparition de métastase dans les trois ans sont plus optimistes dans l’étude prospective de Peña et al (4) que dans les études plus anciennes (5) (Tableau VII).
| |
|
Tableau VII : Comparaison entre les deux grading utilisés au LAPVSO : Gilbertson (5) et Peña & Clemente (1,4)
| Grade (grading de Peña et Clemente) ou stade (selon Gilbertson) | Taux de récidive et/ou d’apparition de métastases dans les deux ans selon Gilbertson | Taux de récidive et/ou d’apparition de métastases dans les trois ans avec le grading de Peña & Clemente |
|---|---|---|
| Grade I ou Stade I bien différencié | 24% | 3,4% |
| Grade II ou Stade I moyennement différencié | 68% | 15,8% |
| Grade III ou Stade I peu différencié | 90% | 58,8% |
| |
|
| |
|
Références bibliographiques :
- ) Clemente M, Pérez-Alenza MD, Illera JC, Peña L. Histologic, immunologic and ultrastructural description of vasculogenic mimicry in a canine mammary cancer. Vet Pathol 47 :265-274, 2010.
- ) Goldschmidt M, Peña L, Rasotto R, Zappulli V. Classification and grading of Canine Mammary Tumors. Vet Pathol. 2011 Jan;48(1):117-31
- ) R. Rasotto, V. Zappulli, M. Castagnaro, and M. H. Goldschmidt. A Retrospective Study of Those Histopathologic Parameters Predictive of Invasion of the Lymphatic System by Canine Mammary Carcinomas. Vet Pathol March 2012 49: 330-340, first published on June 13, 2011
- ) Pena L., De Andrés P.J., Clemente M., Cuesta P. and Pérez-Alenza D. : Pronostic Value of Histological Grading In Noninflammatory Canine Mammary Carcinomas in a Prospective Study With Two-Year Follow-Up : Relationship With Clinical and histological Characteristics Vet Pathol OnlineFirst published on June 11, 2012
- ) Gilbertson S.R., Kurzman I.D., Zachrau R.E. et al : Canine mammary epithelial neoplasms : biological implications of morphologic characteritics assessed in 232 dogs. Vet Pathol, 1983, 20 : 127-142.












