Insuffisance rénale chez un jeune cocker anglais de 6 mois
Un cas de néphropathie familiale
![]() Mélanie FINE |
![]() Mathias MAHINC |
Avec l’aimable autorisation de L’essentiel, article paru dans le n°244 du 8 au 14 mars 2012.
Fly est un chien de race cocker anglais de 6 mois, présenté en consultation pour anorexie et abattement marqué depuis une semaine. il a présenté la veille des vomissements non alimentaires. Sans être quantifiée de façon précise par les propriétaires, la fréquence de prise de boisson ainsi que des mictions semble très anormalement élevée. est un chien de race cocker anglais de 6 mois, présenté en consultation pour anorexie et abattement marqué depuis une semaine. il a présenté la veille des vomissements non alimentaires. Sans être quantifiée de façon précise par les propriétaires, la fréquence de prise de boisson ainsi que des mictions semble très anormalement élevée.
Examen Clinique
L’animal est très affaibli et cachectique (score corporel 1/9). Les muqueuses sont pâles, le TrC est de 3sec, la cor- rection du pli de peau est lente. La déshydratation est évaluée à 7 %. Le poil est hirsute, terne et de mauvaise qualité (photo 1).
Les résultats de l’analyse d’urine sont présentés dans le tableau 1. Le test de Heller est très fortement positif (photo 2).
| Tableau 1. Analyse d’urine | ||||
|---|---|---|---|---|
| pH = 7 | Glucose = Neg | Sang = Neg | DU=1,012 | Protéines=++++ |
| Culot = absence de bactérie et de cristaux | ||||
Hypothèses diagnostiques
Les éléments symptomatiques majeurs sont donc :
- PUPD ancienne
- Protéinurie
- Hyposthénurie
- Anémie
La principale hypothèse diagnostique retenue dans ce cadre clinique chez un jeune chien est un trouble rénal évoluant sur un mode chronique (Tableau 2).
| Tableau 2. Causes d’insuffisance rénale chronique | |
|---|---|
| GLOMERULAIRE | Glomerulonéphrite (autoimmune, congénitale, …) |
| Amyloïdose | |
| Intoxications | |
| TUBULAIRE | Intoxication métaux lourds |
| Infection virales | |
| leptospirose chronique subclinique | |
| INTERSTITIELLE | Pyélonéphrite |
| Néphrite focale | |
| MIXTE | Congénitale (dysplasie rénale, amyloïdose, …) |
| VASCULAIRE | Diabète sucré (chez l’homme) |
Examens complémentaires
Le bilan hématobiochimique confirme l’anomalie rénale. On retiendra de celui-ci, une anémie normochrome normocytaire arégénérative; une augmentation sérique de l’urée, de la créatinine et une hyperphosphorémie. On note enfin une hypoalbuminémie à 18g/l (Tableau 3).
| Tableau 3. Numération et formule sanguines (Valeurs usuelles du MS4+) | ||||
|---|---|---|---|---|
| Paramètres mesurés | Valeurs | Valeurs usuelles | ||
| Globules blancs | 10 990 | 6000 -17 000 | ||
| % Granulocytes | 65,5 | 50-80 | ||
| Granulocytes | 7200 | |||
| % Lymphocytes | 30,9 | 10-40 | ||
| Lymphocytes | 3395 | |||
| % Monocytes | 3,6 | 2-10 | ||
| Monocytes | 395 | |||
| Hématocrite (%) | 24,6 | 35-55 | ||
| Hématies (Millions) | 3,77 | 5,5-8,5 | ||
| Hémoglobine (g/dl) | 8,4 | 10-18 | ||
| VGM (fl) | 65,5 | 58-73 | ||
| TCMH (pcg) | 22,2 | 19,5-24,5 | ||
| CCMH (g/dl) | 34,1 | 28-40 | ||
| Plaquettes(x 109/l) | 275 | 120-600 | ||
Analyse d’urine complémentaire Le ratio protéine/créatinine urinaire est de 9,1 et signe une protéinurie importante d’origine glomérulaire.
échographie Les reins présentent une échostructure anormale, la corticale est hyperéchogène. Le rapport cortico-médulaire est conservé (photo 3).

Photo 3 : échographie rénale. La corticale est hyperechogène, le rapport cortico-medullaire est dans les normes. Photo Dr M. Mahinc.
Plusieurs biopsies sont réalisées. Le reste de l’examen est dans les normes.
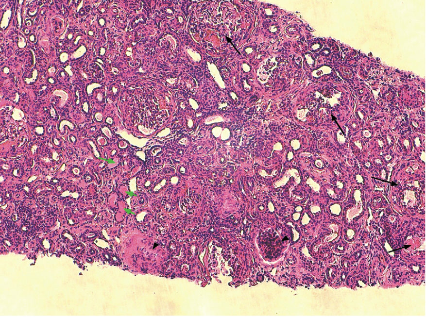
Histologie : l’analyse de deux biopsies de petite taille permet la visualisation d’une dizaine de glomérules rénaux. On note une atteinte glomérulaire avec fibrose segmentaire et adhérence à la capsule de Bowman, quelques images de croissant glomérulaire et de glomérulosclérose associée à des lésions discrètes de néphrite interstitielle lympho-plasmocytaire avec fibroplasie marquée, atrophie tubulaire marquée et protéinurie. Ces images histologiques sont évocatrices d’une néphropathie familiale dans le contexte clinique actuel (photo 4).

Photo 4 : Atteinte glomérulaire majeure avec fibrose segmentaire et adhérence à la capsule de Bowman (flèche noire), glomérulosclérose (tête de flèche) et protéinurie (flèche vertes)(photo Dr M. Fine).
Diagnostic
Fly souffre d’une insuffisance rénale chronique avec atteinte glomérulaire majeure.
La confirmation définitive est apportée par la réalisation d’un test de recherche de la mutation responsable de la néphropathiefamiliale(NF) du cocker anglais(Laboratoire Antagène) (5). Le chiot se révèle être homozygote muté et ce test permet de confirmer le diagnostic.
Pronostic
La NF est une maladie rénale précoce qui conduit à une insuffisance rénale chronique parfois avant l’âge de 6 mois. Le pronostic est toujours sombre puisqu’elle entraine systématiquement la mort de l’animal avant 2 ans.
Traitement
Afin de corriger l’azotémie et la déshydratation, l’animal est hospitalisé et perfusé (ringer lactate) pendant 72h00. Les vomissements ont été contrôlés par des injections de maropitant (1 mg/kg, SiD SC) et de ranitidine ( 2mg/kg TiD iV).
De retour chez lui, un iECA (bénazépril, 0,25 mg/kg) est prescrit une fois par jour (6). un régime pour insuffisant rénal (hypoprotéique et hypophosphoré) est mis en place accompagné d’un chélateur digestif des phosphores, (hydroxyde d’aluminium : 30 mg/kg 1 SiD). Le traitement antiémétique est basé sur l’administration de métoclopramide (0,5mg/kg BiD). De l’aspirine (1 mg/kg BiD PO) est prescrite en raison de ses effets anti-inflammatoires (inhibition des prostaglandines) et antiagrégants plaquettaires (fuite d’AT iii liée à l’hypoalbuminémie).
Évolution
Le chiot a répondu favorablement à une thérapeutique agressive lors de l’hospitalisation. il retrouve l’appétit, les vomissements sont contrôlés et l’azotémie a diminuée.
| Tableau 4. Suivi des paramètres biochimiques sanguins (valeurs usuelles du VetTest d’IDEXX). |
||||
|---|---|---|---|---|
| Paramètres mesurés | Valeurs J0 | Valeurs J+3 | Valeurs J+8 | Valeurs usuelles |
| Urée (g/l) | > 2,73 | 1,33 | > 2,73 | 0,147-0,567 |
| Créatinine (mg/l) | 47,9 | 47 | 57,1 | 44-159 |
| ALAT (UI/l) | 13 | 10-100 | ||
| ALKP (UI/l) | 61 | 23-212 | ||
| Protéines totale (g/l) | 54 | 57-89 | ||
| Albumines (g/l) | 18 | 28-39 | ||
| Globulines calculées (g/l) | 36 | 26-44 | ||
| Phosphore (mg/l) | > 161 | > 161 | > 161 | 25-68 |
Malheureusement dès le retour dans le foyer familial et ce malgré les traitements, le chien se dégrade rapidement et devra être euthanasié une semaine plus tard.
Examens complémentaires
La NF est une maladie héréditaire provoquant une insuffisance rénale précoce chez le cocker spaniel anglais (ECS). elle est transmise sur un mode autosomal récessif et est responsable d’une anomalie du collagène de type iV de la membrane basale des glomérules rénaux qui cause une maladie glomérulaire progressive (1) (2). On estime à 20 % la fréquence de la mutation dans la population d’ECS. Cette maladie rénale est analogue au syndrome d’Alport chez l’humain.
Les chiens atteints de NF développent une insuffisance rénale entre 6 mois et 2 ans. Les signes cliniques observés ne sont pas différents de ceux retrouvés lors d’insuffisance rénale chronique d’une toute autre cause, c’est à dire : retard de croissance chez le jeune, amaigrissement, qualité de poils médiocre, polyuropolydipsie, dysorexie et vomissements. A un stade avancé de la maladie, l’examen clinique révèle le plus souvent, une déshydratation, des muqueuses pâles, une haleine urémique et des ulcérations buccales. Les résultats des examens biologiques suivent la même logique et ne permettent pas de discriminer une NF des autres causes d’iRC. Les anomalies attendues sont une azotémie, hyperphosphatémie et acidose métabolique. La numération formule montre généralement une anémie arégénérative. Les analyses d’urine mettent en évidence un défaut de concentration. La NF étant une maladie glomérulaire, le chien montre de façon précoce et sévère une protéinurie, parfois même avant toute manifestation clinique. Le ratio protéine/créatinine urinaire est généralement compris entre 5 et 10.
La gravité des lésions histologiques rénales observées dépend du stade de progression de la maladie. Les lésions discrètes montrent un épaississement segmentaire avec un aspect « mité » de la membrane basale des capillaires glomérulaires. Les lésions modérées montrent une fibrose glomérulaire segmentaire avec adhérence à la capsule de Bowman associée à une fibrose périglomérulaire. Les lésions évoluées sont une glomérulosclérose avec ou sans dilatation kystique de la chambre glomérulaire. il s’y ajoute des lésions de fibrose interstitielle avec infiltrat lympho-plasmocytaire multifocal, nécrose, fibrose ou dilatation tubulaire et protéinurie (1) (4).
L’examen histologique n’est pas à lui seul diagnostique. Le diagnostic de la néphropathie familiale du cocker anglais peut se faire :
- soit par test génétique en vérifiant que l’animal possède deux copies du gène défectueux impliqué dans la maladie (5);
- soit par la détection d’un épaississement et une multi-lamellation de la membrane basale des glomérules en microscopie électronique (1) (3);
- soit par l’absence d’expression des chaines α3 et α4 du collagène de type iV dans les membranes des glomérules rénaux par immunohistochimie (1).
La NF est d’évolution chronique et fatale. La thérapeutique mise en place ne peut consister qu’en un traitement de soutien. une alimentation spécifique pour insuffisant rénal et l’administration d’un inhibiteur de conversion ralentiraient quelque peu la progression de la maladie (6). Cependant, une fois que le chien développe une azotémie modérée, l’insuffisance rénale évolue vers un stade terminal en 3 à 6 semaines tout au plus.
Bibliographie
- A model of autosomal recessive Alport syndrome in English cocker spaniel dogs. Lees GE, Helman RG, Kashtan CE, Michael AF, Homco LD, Millichamp NJ, Ninomiya Y, Sado Y, Naito I, Kim Y. Kidney Int. 1998 Sep;54(3):706-19.
- Jubb, Kennedy and palmer’s pathology of domestic animals, 5e edition, 2007, Saunders Elsevier. Vol2 : 460.
- Early diagnosis of familial nephropathy in English cocker spaniels. Lees GE, Helman RG, Homco LD, Millichamp NJ, Hunter JF, Frey MS.J Am Anim Hosp Assoc. 1998 May-Jun;34(3):189-95.
- Familial nephropathy in cocker spaniels. Koeman JP, Ezilius JW, Biewenga WJ, van den Brom WE, Gruys E. Dtsch Tierarztl Wochenschr. 1989 Apr;96(4):174-9.
- Genetic Cause of Autosomal Recessive Hereditary Nephropathy in the English Cocker Spaniel. Ashley G. Davidson, Rebecca J. Bell, George E. Lees, Clifford E. Kashtan, George S. Davidson, and Keith E. Murphy. J Vet Intern Med. 2007;21:394–401
- Treatment of X-linked hereditary nephritis in samoyed dogs with angiotensin converting enzyme (ACE) inhibitor. K.M. Grodecki, M.J. Gains, R. Baumal, D.H. Osmond, B. Cotter, V.E.O. Valli, R.M. Jacobs. J Comp Pathol. 1997 Oct;117(3):209-25.



