Couplez la cytologie et l’histologie, c’est une combinaison gagnante !

Cytologie : mélanocytes tumoraux pigmentés Histologie : tumeur maligne anaplasique à cellules épithélioïdes
- Pensez à coupler la cytologie et l’histologie quand cela est possible, car elles se complètent utilement :
- la première fournissant les détails morphologiques à l’échelon cellulaire,
- la deuxième l’indispensable architecture tissulaire, le mode de croissance de la lésion ainsi que ses marges.
- Dans bien des cas, cette combinaison apporte au pathologiste le diagnostic définitif de la lésion prélevée (et peut même éviter le recours à des techniques plus sophistiquées et coûteuses comme l’immunohistochimie).
- La cytologie permet souvent une analyse plus fine et détaillée à l’échelon cellulaire :
- comme la mise en évidence de granulations cytoplasmiques parfois invisibles ou difficiles à appréhender à l’Histologie
- ou comme l’étude plus approfondie des anomalies nucléaires et cytoplasmiques (la cytologie est indispensable au typage des lymphomes par exemple).
Y penser notamment pour l’étude de :
- Toute adénopathie isolée ou généralisée
- Toute masse cutanée ou sous-cutanée
- Toute masse buccale
- Toute suspicion de lésion infiltrante de l’intestin chez le chat
- Mais également pour toute lésion des organes internes.

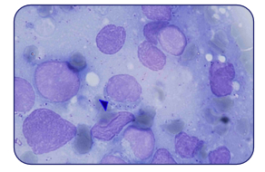
Cytologie : lymphome malin à lymphocytes granuleux (chat)